Invisalign Dentist Services
Selecting a family dentist for yourselves can be troubling as there are various factors to be considered. You will want them to be able to excel in all the areas such as superior treatment, fine accommodation, trustability, interaction and so on. When all of these areas are fulfilled, only then will you select them to be your dentist. But why would you want to get in all the fuss when you have found us?
Greenacre dental Clinic is highly equipped with richly experienced dentists and Invisalign dentists near you. Our dental clinic in Bankstown has a well-behaved staff who will assist you in getting to the dentists and acquire the finest of treatments. We assure you we are about to be your beloved Orthodontics in Bankstown as we tend to leave an impression that’s hard to erase.
Greenacre Family Dentist offers exceptional and affordable orthodontic services to
straighten teeth and align smiles so you don’t have to search for a “cheap orthodontist near me” anymore. Orthodontic services can be used to achieve a variety of results, such as straightening teeth, align smiles, reshape mandibles, or correct over/underbites. There are different styles of orthodontic applications, such as Invisalign and traditional braces.
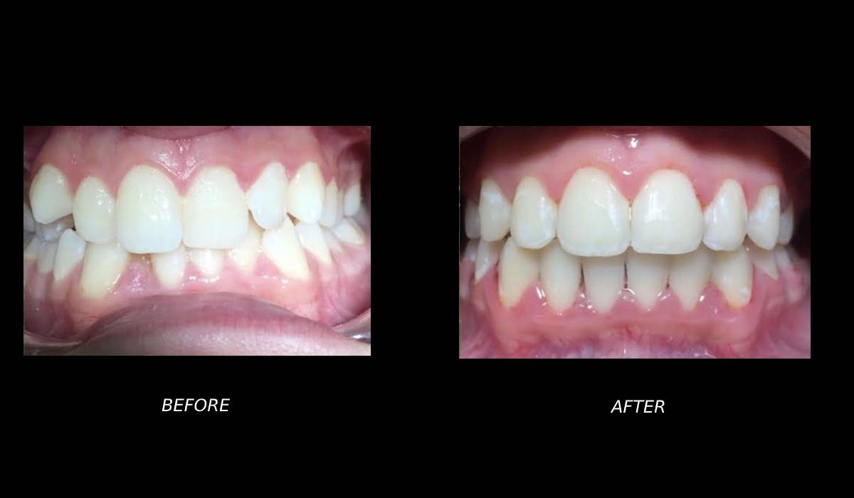
Invisalign
Invisalign braces are clear retainers that are nearly invisible on the teeth. This new dental appliance has an innovative design that helps re-sculpt and straightens a person’s smile. These dental appliances are clear plates that are removed for eating and cleaning. These dental treatments can range from 3 months to 3 years, and they are recommended for teens and adults, as there are more rules and care needed compared to traditional braces. Many people choose Invisalign to hide the fact they have braces, and they are exceptionally popular with celebrities. Before you go searching for an “Invisalign dentist near me” we will let you know that Greenacre Family Dentist is the leading Invisalign technician servicing both the Greenacre and Bankstown suburbs. Our services of Invisalign in Bankstown are receiving increasing recognition as each day passes by.
Braces
One of the most effective ways to realign a person’s teeth or jaw would be to recommend that they consider braces. These dental appliances are made up of a few materials that consist of adjustable wires, elastic bands and attached brackets. These dental materials will reposition crowded teeth and gaps by working together over time. Braces are the more traditional style of orthodontics and are recommended for kids and teenagers over Invisalign, due to their easy-care tips and rules. However, there are some eating restrictions, such as no fizzy drinks or chewy lollies.
Greenacre’s Orthodontist Orthodontics focuses on straightening and aligning your teeth. Orthodontic treatment can help to correct misplaced bites, crowding, spacing and misplaced midline. At Universal Dental, we only use supreme quality European or American orthodontic braces systems, including the Faster self-ligating braces and clear removable aligners.
Orthodontics in Greenacre provides you with top-notch services for your teeth. When you or your known ones visit the Greenacre dental clinic, you would know exactly why we are proud of the facilities we provide. You can talk about the experience that our dentists possess as each dentist has over 15+ years of experience. With such significant practical knowledge, we are well versed to serve you with absolute quality treatment. When you visit us, we tend to make our patient-doctor relation last long and strive to be your favourite family dentist.
You can now get the treatment of Orthodontics in Bankstown through services of Orthodontics in Greenacre. We are also known for our affordable braces throughout Sydney. Contact us today to inquire about our braces and Invisalign services available in our convenient Greenacre clinic, a short drive from Bankstown. We are just one call away from you and our team is on its feet to treat your pretty teeth with our qualified dentists. You can call us right now at (02) 9740 7088 or (02) 9759 6033 and book an appointment.
Smile Gallery






Smile Gallery































